علوم وتكنولوجيا
-

إيرانية تفوز بمنحة كومستيك البحثية لعام 2025
يتم تنفيذ برنامج منح كومستيك البحثية من قبل اللجنة الدائمة للتعاون العلمي والتكنولوجي للدول الإسلامية، ويهدف إلى دعم الباحثات الشابات…
أكمل القراءة » -

هذه هي الساعة الذكية الوحيدة التي يجب على كل والد أن يأخذها بعين الاعتبار لطفله
يمكن أن تكون الهواتف والساعات الذكية مفيدة، خاصة إذا كنت بحاجة إليها شيء بسيط للبقاء على اتصال مع أطفالك. وعلى…
أكمل القراءة » -

الميزة الوحيدة المفقودة في معظم محاور الشحن اللاسلكي هي التي تدفعني إلى الجنون
لم أخفي أنني كنت أستمتع حقًا بالصفات المغناطيسية الخاصة بي جوجل بيكسل 10 برو. الشواحن، والخواتم، وأجهزة القراءة الإلكترونية، سألصق…
أكمل القراءة » -

قد تكون العدوى المخفية هي الحلقة المفقودة في فيروس كورونا الطويل
قد يكون سبب فيروس كورونا الطويل هو العدوى الخاملة التي تستيقظ بعد أن يعطل فيروس كورونا جهاز المناعة. الائتمان: شترستوك…
أكمل القراءة » -

أصبحت إعادة تصميم ميزة التشغيل الآن التي طال انتظارها على YouTube Music على وشك الانتهاء
يختبر YouTube Music تحديثًا لصفحة “التشغيل الآن” للتطبيق منذ بعض الوقت. بينما ظهرت التلميحات الأولى لإعادة التصميم هذه منذ أكثر…
أكمل القراءة » -
حصل هذا الهاتف الرائد من الدرجة الأولى على تقييم 9/10 في مراجعتنا ومن المستحيل الآن تجاهله بسعره الذي يمكن الوصول إليه بسهولة
هذا هو هاتف Android الذي يجب على معظم الناس شراؤه. تلقى جوجل بكسل 10 الثناء الكبير في مراجعتنا، تقديم تجربة…
أكمل القراءة » -

Google Keep هو تطبيق التركيز الأقل تقديرًا على Android وإليك كيفية استخدامه للبقاء منظمًا
عندما تفكر في تطبيقأنت التركيز، ربما يقفز عقلك إلى التطبيقات الثقيلة مثل Notion أو Todoist نظرًا لأنها تتميز بقواعد البيانات…
أكمل القراءة » -

الانقلاب الشتوي أطول ليلة ونموذج عيد الميلاد
في نهاية العام، عندما يتم ملاحظة أقصر ساعات النهار في نصف الكرة الشمالي، يحدث حدث حدد إيقاع حياة حضارات بأكملها…
أكمل القراءة » -

هابل يلتقط لحظة الاصطدام الكوني بين كويكبين
لأول مرة في تاريخ علم الفلك، سجل تلسكوب هابل الفضائي اصطداما مباشرا بين جسمين كبيرين خارج المجموعة الشمسية. لاحظ علماء…
أكمل القراءة » -

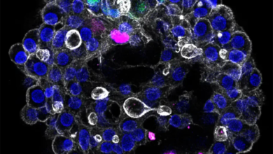
يمكن إعادة تكوين كبد بشري حي خارج الجسم
سميت مجموعة من العلماء من معهد بيولوجيا الخلايا الجزيئية وعلم الوراثة بهذا الاسم ماكس بلانك في دريسدن، بالتعاون مع مستشفى…
أكمل القراءة »








